شوف التغيير بنفسك

نتائج حقيقية من حالات تم تنفيذها داخل المركز بإشراف فريقنا الطبي. كل ابتسامة هنا بتحكي عن رحلة مختلفة — من مشكلة في الشكل أو الوظيفة، إلى نتيجة طبيعية وثقة راجعة من جديد.

 
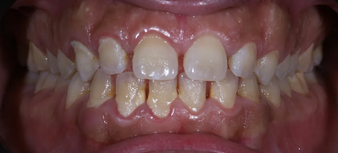
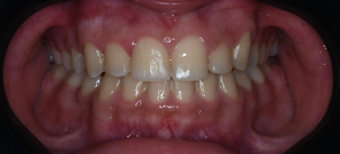
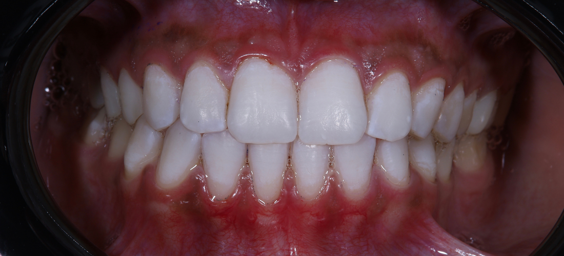
التنظيف والتلميع 1
التنظيف والتلميع 1

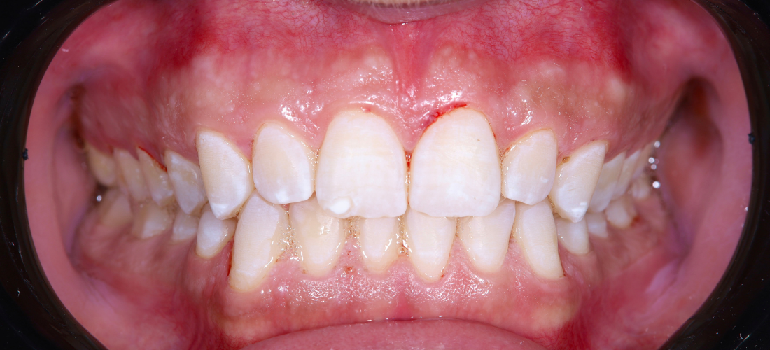
التنظيف والتلميع

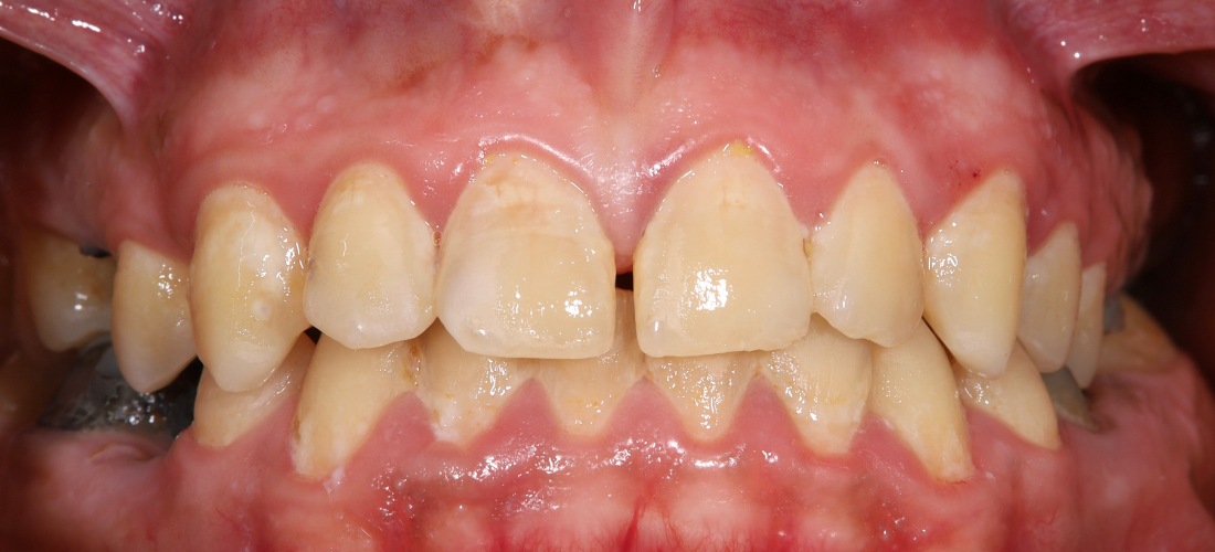
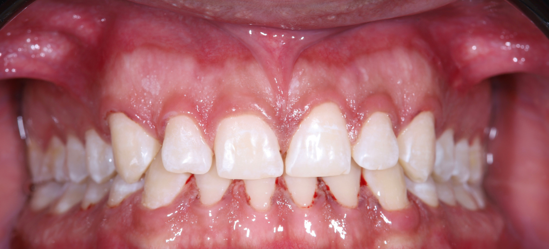
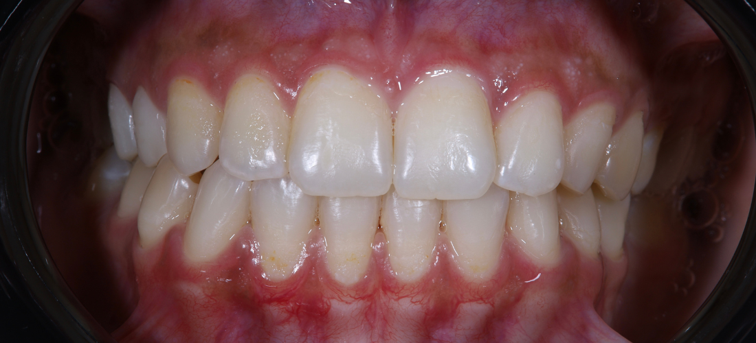
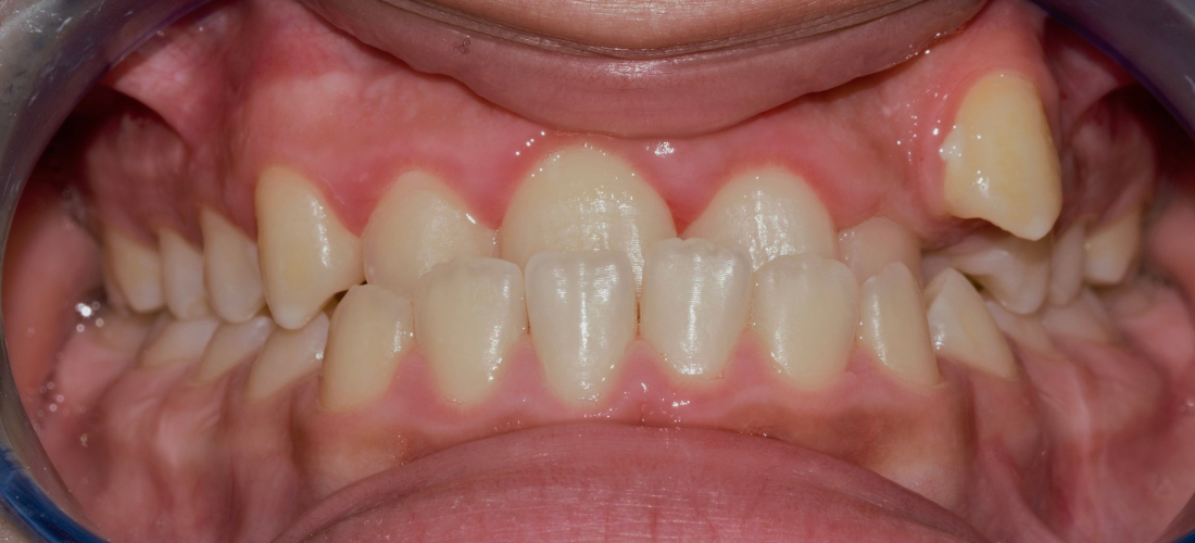
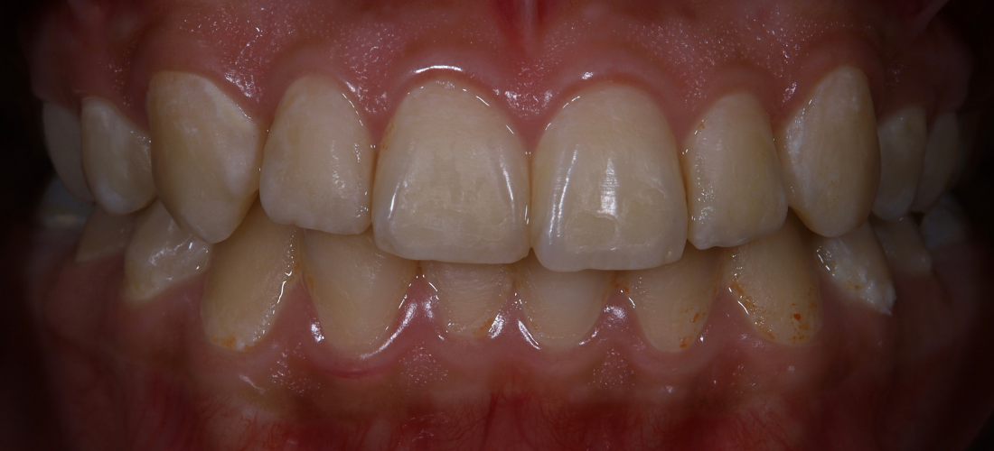
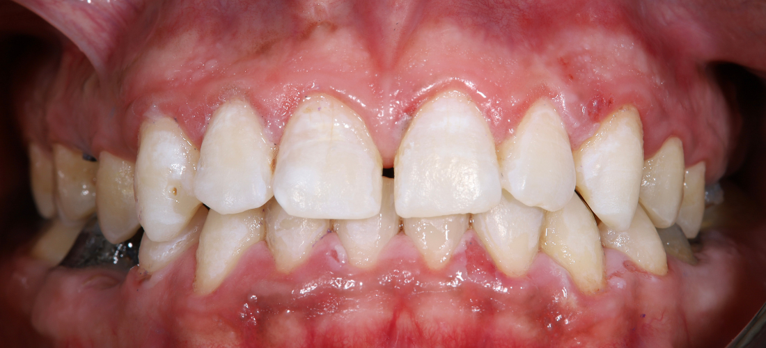
إطالة التاج
إطالة التاج

إطالة التاج

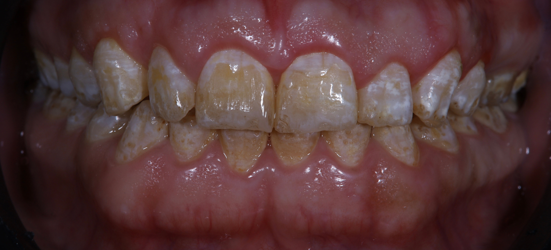
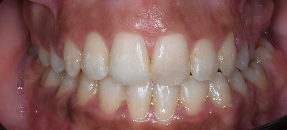
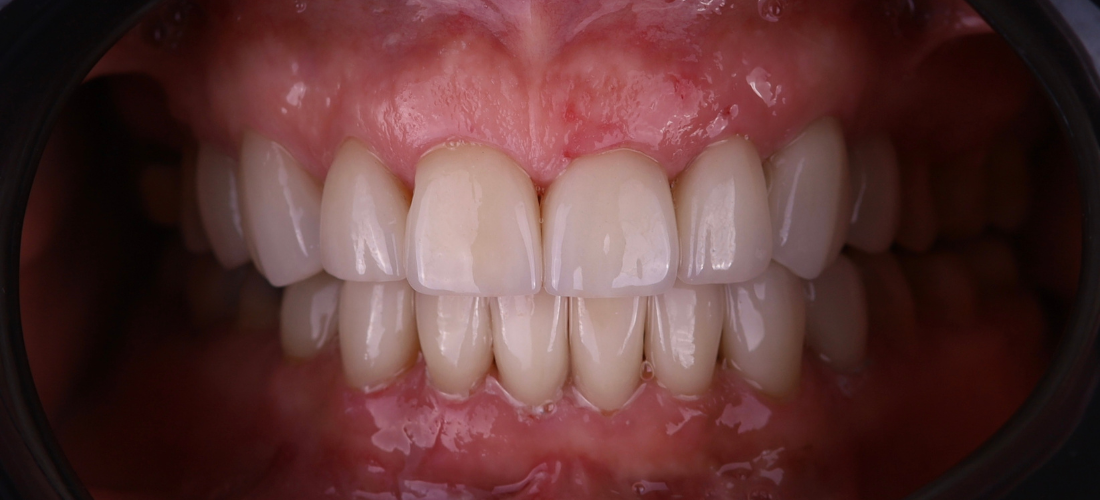
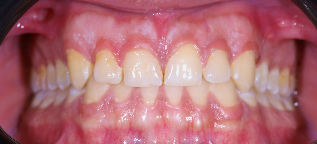
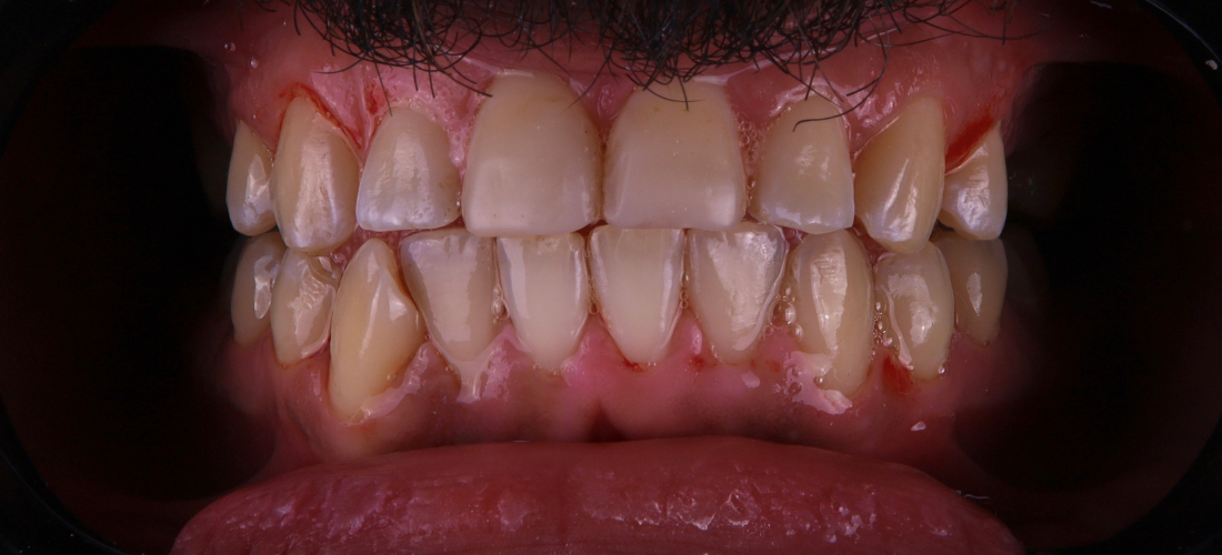
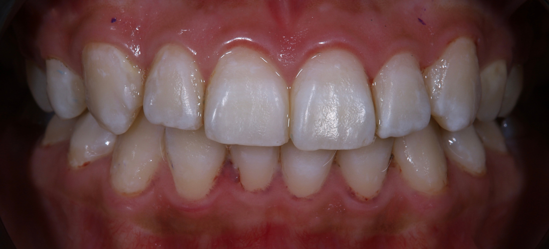
الترميم الجمالي
الترميم الجمالي

الترميم الجمالي

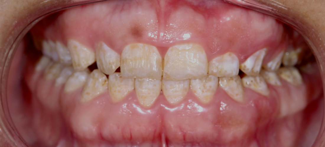
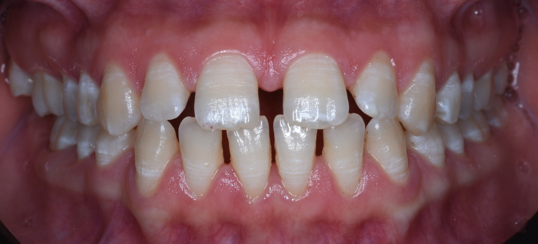
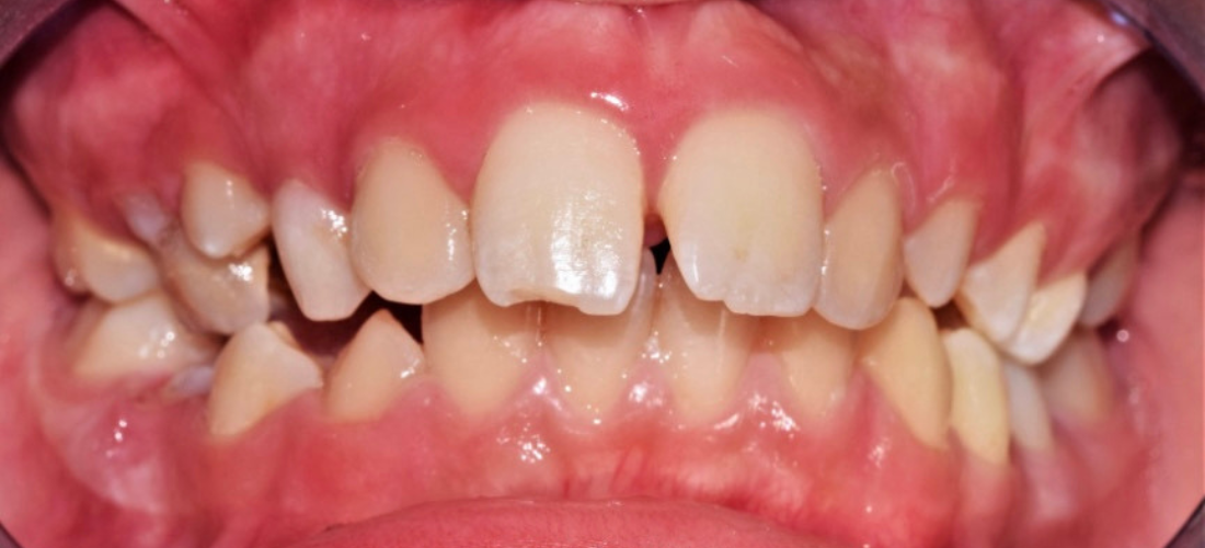
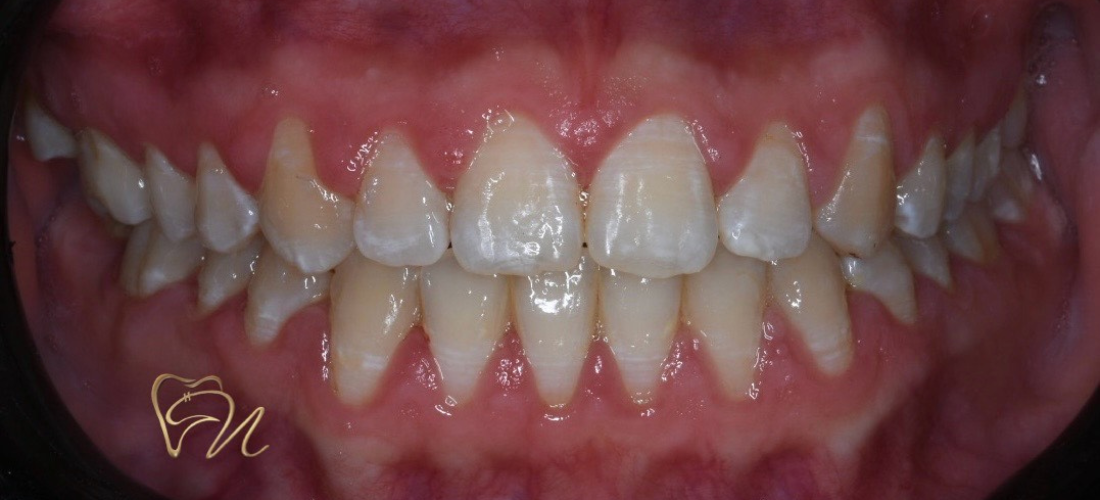
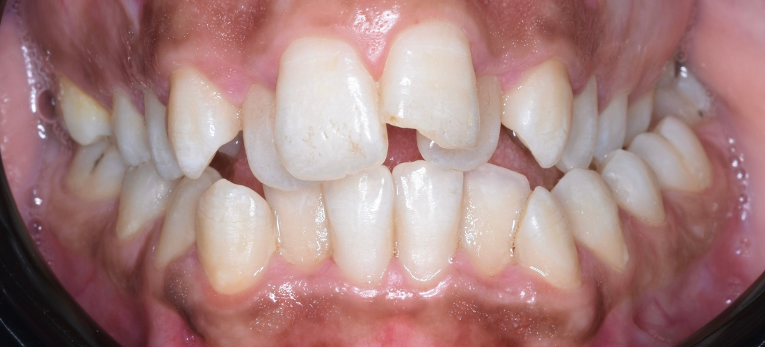
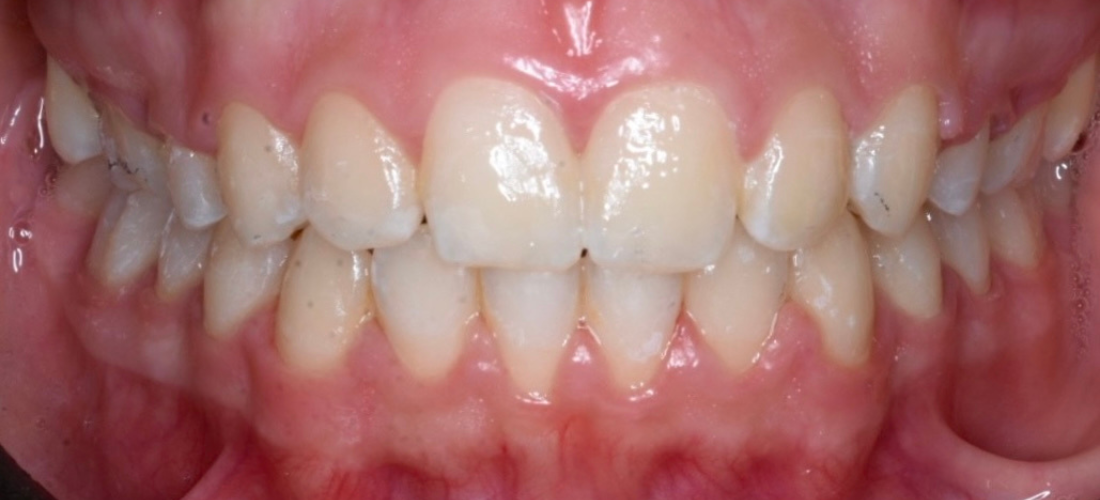
أورثو 1
أورثو 1

أورثو

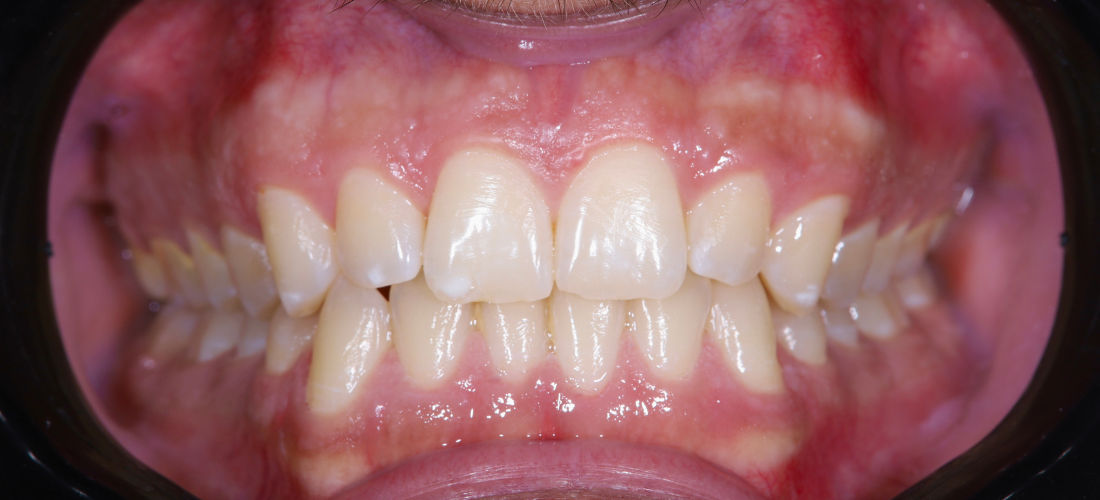
أورثو 2
أورثو 2

أورثو

أورثو 3
أورثو 3

أورثو

أورثو 4
أورثو 4

أورثو

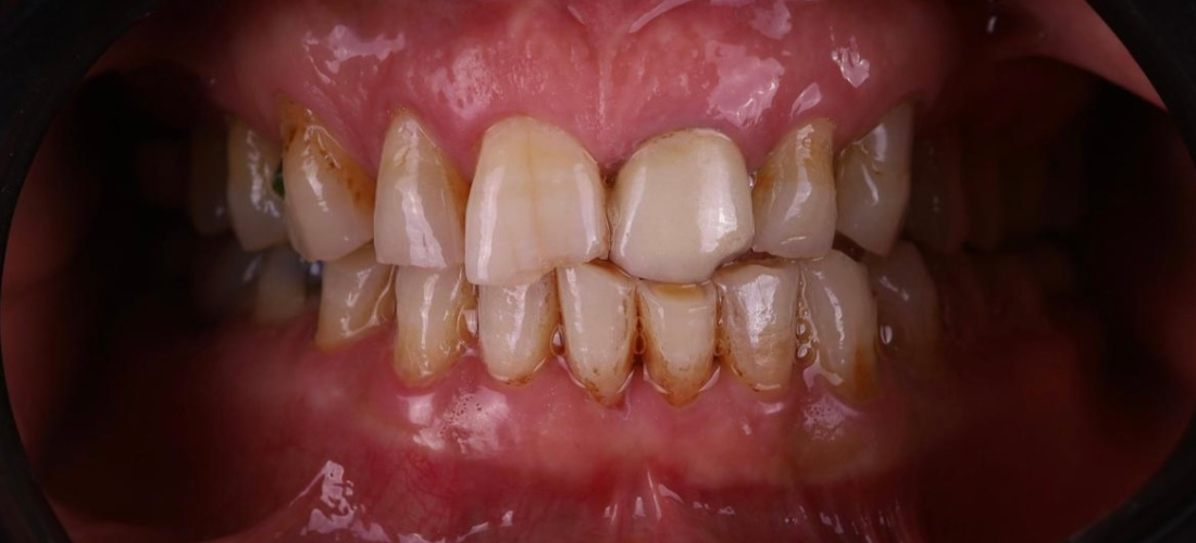
التنظيف والتلميع 2
التنظيف والتلميع 2

التنظيف والتلميع

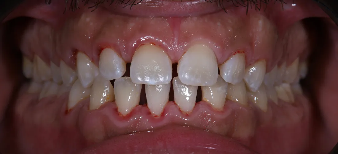
قشور الأسنان

قشور الأسنان2
قشور الأسنان2

قشور الأسنان

تبييض 1
تبييض 1

تبييض

تبييض 2
تبييض 2

تبييض

تبييض 3
تبييض 3

تبييض

تبييض 4
تبييض 4

تبييض